
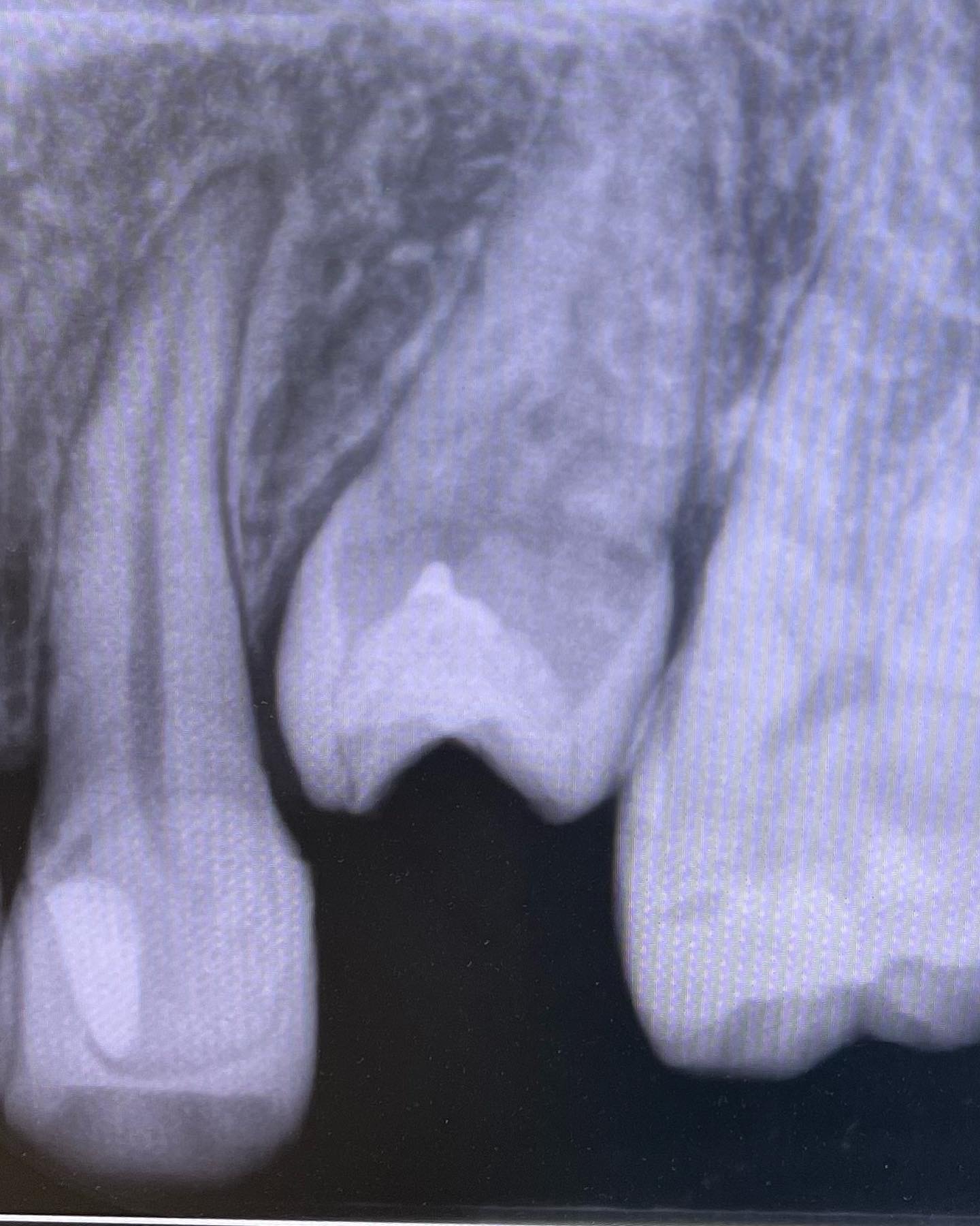
Vital Pulp Therapy→Er-YAGレーザーとMTAセメントミエール症例。
低位の歯が露髄。Er-YAGレーザーにて歯髄蒸散し、MTAとCRにて修復。痛みでませんように!失活しませんように!祈るしかありません。
生活歯のまま保存して、ワイヤー矯正までもっていきたいと切に願ってます。
診療ご希望の方は0425958118までご連絡ください!
#いいね立川 #ダブルタップお願いします #フォローミー #歯を残す歯科医師と繋がりたい #立川衛生士 #歯科衛生士 #歯科衛生士求人 #歯科医師求人 #歯髄温存療法 #歯髄保存 #vitalpulptherapy #eryag #mtacement #mta #mielle

| 治療費(税込) | 33000円 |
|---|

櫻田 博雅
立川北デンタルオフィス 院長
昭和大学大学歯学部を卒業し、その後都内歯科医院勤務を経て2011年に立川北デンタルオフィスを開業する。
「超保存型歯科医院」「救歯臨床」を掲げ、天然歯を残す可能性を日々研鑽し追及している。