
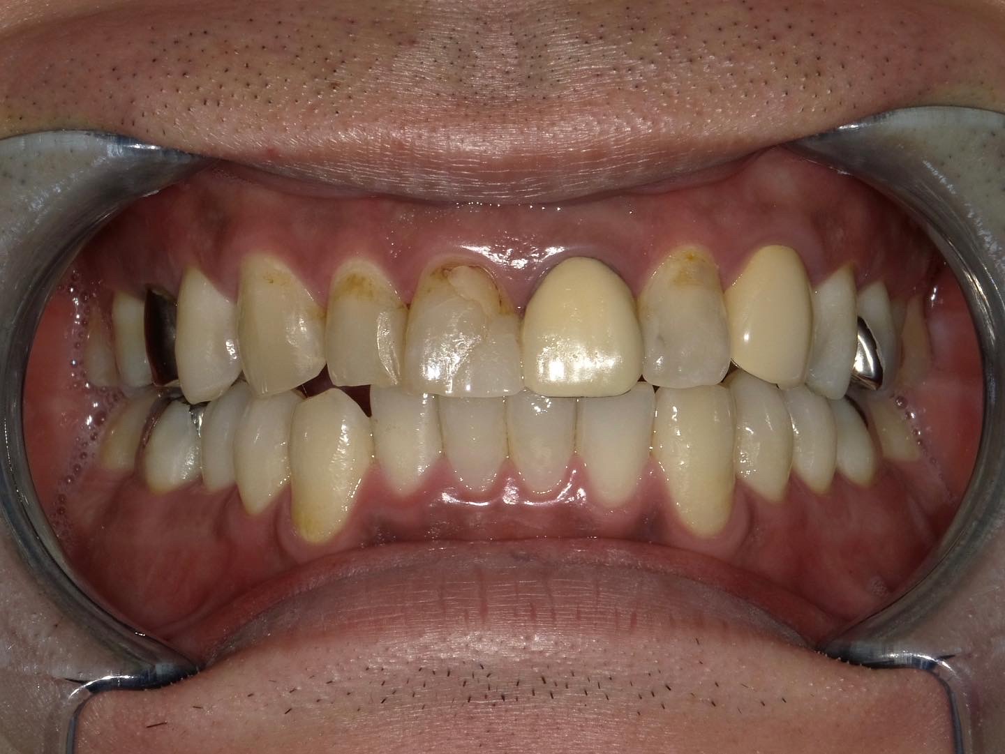
知人患者さん。主訴は、人前で笑いにくいほど前歯に自信が無い。
ニコニコ笑顔になりました!
歯で印象も自信も性格も生き方も変わると、私は信じてます!喜んでいただけて、とても嬉しいです。
前歯の審美治療も立川北デンタルオフィスへどうぞ!診療ご希望の方は0425958118までご連絡ください!
#いいね立川 #ダブルタップお願いします #フォローミー #歯を残す歯科医師と繋がりたい #立川衛生士 #歯科衛生士 #歯科衛生士求人 #歯科医師求人 #立川歯医者 #invisalign #invisalignGo #インビザライン #マウスピース矯正 #iGo #iTero #アライナー #インプラント #ダイレクトボンディング #セラミック治療 #審美歯科 #美容歯科 #自然な笑顔 #イケメンより笑顔 #笑顔が一番 #笑顔をデザインする仕事 #手を添えずに笑えます #笑顔に自信



| 治療費(税込) | 5本セラミック 9.5万円×5本 右上3番はダイレクトボンディング 2万円 |
|---|

櫻田 博雅
立川北デンタルオフィス 院長
昭和大学大学歯学部を卒業し、その後都内歯科医院勤務を経て2011年に立川北デンタルオフィスを開業する。
「超保存型歯科医院」「救歯臨床」を掲げ、天然歯を残す可能性を日々研鑽し追及している。